wave

Parodontie

Au cabinet du Dr Nadia TAZI à Capinghem, nous prenons soin de vos gencives grâce à des traitements de parodontie adaptés à chaque situation.

La parodontie non chirurgicale permet de traiter efficacement les inflammations et les infections des gencives par des soins de détartrage et de surfaçage radiculaire.

Lorsque la maladie parodontale est plus avancée, la parodontie chirurgicale permet de restaurer les tissus de soutien de la dent pour préserver la stabilité de votre sourire.

Nous réalisons également des greffes de gencive pour corriger les récessions gingivales, des gingivectomies et élongations coronaires pour harmoniser le contour gingival, ainsi que des frénectomies afin d’améliorer la mobilité et le confort bucco-dentaire.

Grâce à une approche personnalisée et douce, nous visons à préserver la santé, la fonction et l’esthétique de vos gencives durablement.

Parcours de soin

Étape 1
Bilan initial

Consultation ou bilan complet
selon vos besoins spécifiques.

Étape 2
Traitement

Surfaçages et/ou greffes
gingivales selon le diagnostic.

Étape 3
Évaluation

Réévaluation des résultats après les soins initiaux.

Étape 4
Ajustements

Mise en place de soins
complémentaires si nécessaire.

Étape 5
Entretien

Suivi à long terme pour
stabiliser et préserver vos tissus.

Étape 1
Bilan initial

Consultation ou bilan complet
selon vos besoins spécifiques.

Étape 2
Traitement

Surfaçages et/ou greffes
gingivales selon le diagnostic.

Étape 3
Évaluation

Réévaluation des résultats après les soins initiaux.

Étape 4
Ajustements

Mise en place de soins
complémentaires si nécessaire.

Étape 5
Entretien

Suivi à long terme pour
stabiliser et préserver vos tissus.

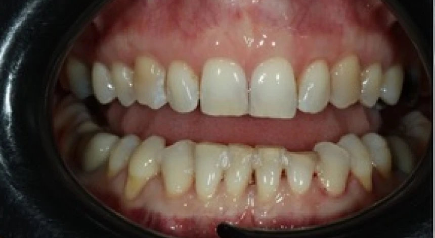
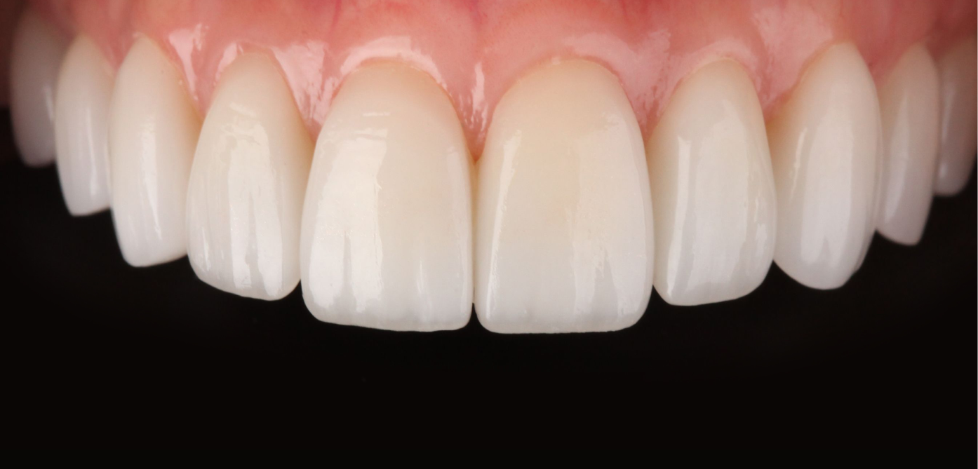
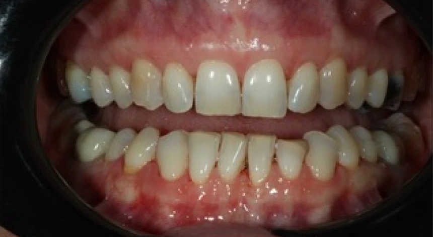
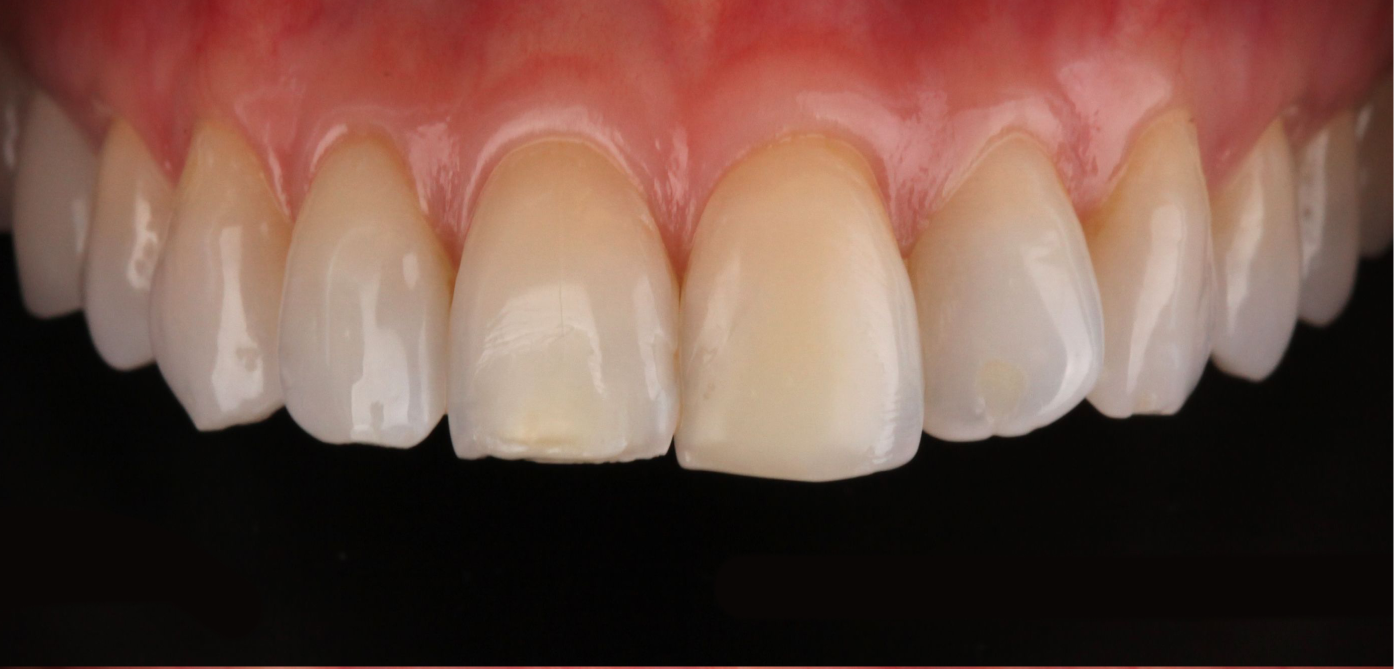
Cas Cliniques

03 20 93 60 23
RDV
Contactez-nous